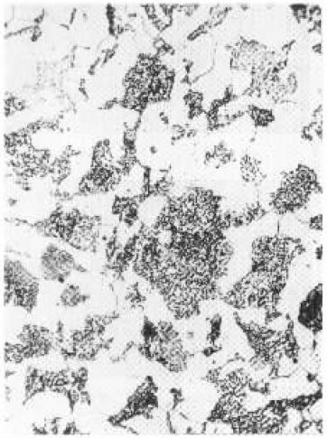
35鋼(720℃球化退火)中碳碳素鋼金相圖

500×
材料:35鋼
工藝情況:720℃球化退火
浸蝕方法:4%硝酸酒精溶液浸蝕
組織說明:球狀、點狀和少量短片狀珠光體,以及白色的鐵素體,硬度為140HB。
在720℃球化退火時,由于成分的不均勻性,在滲碳體和鐵素體的晶界處局部萌芽奧氏體晶核,原來的片狀滲碳體破斷。由于滲碳體呈球體時,表面自由能最低,所以克服一定的激活能后,具有長成球狀的趨勢。當奧氏體緩慢冷卻時,奧氏體的富碳區形成滲碳體核心,逐漸長大成球狀。720℃退火,實際是在720℃左右的溫度振蕩,在振蕩過程中,片狀滲碳體不斷破斷,并逐漸長成球狀。
35鋼具有良好的塑性和適當的強度,廣泛用作各種熱鍛、熱沖壓的機械零件,冷拉和冷頂鍛鋼材,以及制造各種機械零件。
| |


